nossos serviços

Ultrassonografia Obstétrica com Translucência Nucal

descrição geral

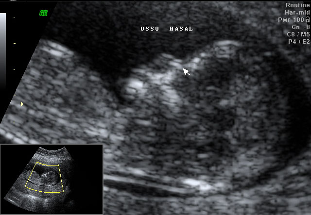
Este exame tem como objetivo avaliação precoce de algumas alterações anatômicas fetais e rastreamento das cromossomopatias mais comuns, como trissomia 21 (síndrome de Down), trissomia do 18 (síndrome de Edwards) e trissomia do 13 (síndrome de Patau), através da análise de alguns marcadores como translucência nucal, osso nasal e ducto venoso.

quando é realizado?

É realizado quando o feto tem entre 45 e 84 mm de comprimento cabeça-nádega, o que geralmente corresponde a 11 e 14 semanas, respectivamente, podendo ser
realizada por via abdominal ou via vaginal, a depender da via que
oferecer melhor qualidade de imagem.

observação

Exame de rotina que não requer preparo prévio e a gestante pode solicitar a gravação do exame em DVD.


 
Copyright © 2011 Clínica Gestar. Todos os direitos reservados.
Projeto do Site: Claren Design